Pneumothorax and pleural effusion- diagnosis and management with MCQs
PNEUMOTHORAX
Pneumothorax is the presence of air in the pleural space.
Two types
- Traumatic pneumothorax
- Spontaneous pneumothorax
- Results from penetrating or non-penetrating chest injuries.
- Transthoracic needle aspiration
- Thoracentesis
- The insertion of central intravenous catheters
- Primary Pneumothorax
- No evidence of overt lung disease.
- Due to rupture of a small subpleural emphysematous bulla or pleural bleb, or the pulmonary end of a pleural adhesion
- Occur almost exclusively in smokers
- one-half of patients will have a recurrence
- Secondary Pneumothorax
- Underlying lung disease, most commonly COPD and TB;
- also seen in asthma, lung abscess, pulmonary infarcts, bronchogenic carcinoma, all forms of fibrotic and cystic lung disease
Tension pneumothorax
- Results from a wound in the chest wall which acts as a valve that permits air to enter the pleural cavity but prevents its escape
- Intrapleural pressure rises to well above atmospheric levels.
- The pressure causes mediastinal displacement towards the opposite side, with compression of the opposite normal lung
- Impairment of systemic venous return, causing cardiovascular compromise
Closed pneumothorax
- Communication between the airway and the pleural space seals off
- mean pleural pressure remains negative
- reabsorption of air, re-expansion, infection is uncommon
Open pneumothorax
- Communication fails to seal and air continues to pass freely
- Occur following rupture of an emphysematous bulla, tuberculous cavity or lung abscess into the pleural space
- Infection is common
Clinical Features of tension pneumothorax
- sudden-onset unilateral pleuritic chest pain or breathlessness
- larger pneumothorax (> 15% of the hemithorax) results in decreased or absent breath sounds
- combination of absent breath sounds and resonant percussion note is diagnostic of pneumothorax.
- Inspection
- Tachypnoea (pain, deflation reflex)
- Palpation
- ↓Expansion
- Percussion
- Resonant or hyper-resonant
- Auscultation
- Absent breath sounds
Tension pneumothorax also causes
- Deviation of trachea to opposite side
- Tachycardia and hypotension
- Cyanosis
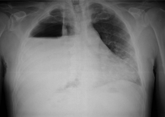
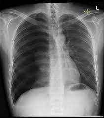
Investigations for pneumothorax
- Chest X-ray
- Sharply defined edge of the deflated lung with complete translucency
- Extent of any mediastinal displacement and reveal any pleural fluid or underlying pulmonary disease.
- CT scan
- In doubt, distinguish bullae from pleural air.
Treatment of tension pneumothorax
- Primary pneumothorax with lung edge < 2 cm from the chest wall, not breathless requires no intervention.
Percutaneous needle aspiration of air
- In young patients with a moderate or large spontaneous primary pneumothorax
- Intercostal tube drainage
- In those over 50 years old and those with respiratory compromise
Surgical pleurodesis
- Recommended following a second pneumothorax
- should be considered following the first episode of secondary pneumothorax if low respiratory reserve makes recurrence hazardous.
- Pleurodesis can be achieved by pleural abrasion or parietal pleurectomy at thoracotomy or thoracoscopy.
- Prevents recurrences
Post Chest Tube monitoring: what to look for after keeping a chest tube
- After 24 hours; if lungs reinflated and no bubblingremove drain
- Continuing bubbling after 5- 7days is indication of surgery
- High flow O2 supplement- may speed resolution
- If bubbling stops before full inflation of lung then tube is either blocked , kinked or displaced
- Pleural Effusion
Pleural effusion:
Pleural Fluid
- Excessive accumulation of fluid in the pleural space.
- Detected clinically, when ≥ 500 mL is present.
- Produced and absorbed at a rate of 15mL per day
- Each pleural space contains 10mL of fluid
Causes of pleural effusion:
Pathophysiology of pleural effusion:
Fluid enters the pleural space:
- from the capillaries in the parietal pleura
- from the peritoneal cavity via small holes in the diaphragm
- Fluid removed via the lymphatics situated in the parietal pleura.
lymphatics have capacity to absorb 20 times more fluid than is normally formed.
Pleural fluid accumulates when:
pleural fluid formation >pleural fluid absorption.
Exudative or Transudative
Alteration of hydrostatic and/or oncotic factors Increases the formation or decreases the reabsorption Transudate
Direct or cytokine induced pleural membrane and/or vascular damage Increased capillary permeability Exudate
Types of pleural effusion:
Transudative effusion
- Congestive Heart failure
- Cirrhosis
- Pulmonary embolization
- Neoplastic syndrome
- Constrictive pericarditis
- Hypothyroidism
Exudative effusion:
- Bacterial pneumonia (common)
- Tuberculosis
- Carcinoma of the bronchus
- Pulmonary infarction
- Autoimmune
- -Rheumatic diseases
- – SLE
Clinical features of pleural effuion:
- Shortness of breath
- Chest pain, especially on breathing in deeply (pleurisy, or pleuritic pain)
- Fever
- Cough
How Patient Presents in pleural effusion?
History in pleural effusion
- Pain on inspiration and coughing
- Often asymptomatic
- Pleurisy
Examination finding in pleural effusion:
- Chest wall movement : Reduced in affected side
- trachea and mediastinum shift away from affected side
- With massive effusion (>1000ml)]
- Percussion note: Stony dull
- Breath sounds: Vesicular
- (Reduced or absent)
- Vocal resonance: Reduced or absent
On Chest Examination of pleural effusion following findings can be found:
- Bronchial breathing may be present
- Expansion ↓
- Percussion stony dull
- Air entry ↓
- Vocal resonance ↓
- With massive effusion (>1000ml) trachea and mediastinum shift away from affected side
Diagnostic Approach in pleural effusion
Light’s criteria for Exudative Effusion
- Pleural fluid protein: serum protein >0.5
- Pleural fluid LDH: serum LDH >0.6
- Pleural fluid LDH > 2/3 upper limit of normal for serum
- Investigations
- Serum
- CBC
- LDH
- protein
- Coagulation studies (PT, PTT, INR )
Pleural fluid analysis for pleural effusion:
- Note color and consistency
- Chemistries: Protein, albumin, LDH, glucose, pH
- Cell count with differential
- Microbiological stains and culture
- Cytology
Pleural fluid finding in effusion
Lateral decubitus x ray in pleural effusion:
- Demonstrates fluidity
- Suggest for thoracentesis if fluid layer > 1cm.
- Transudates
- Usually resolve with treatment of underlying cause
- Therapeutic thoracentesis in persistent larger effusion
- Pleurodesis, shunts, or placement of a indwelling pleural catheter for palliation
Treatment of pleural effuusion:
- Simple Parapneumonic Effusion
- Antiobiotics
- Selected base on causing organism
- Generally anaerobic coverage
- ( clindamycine, imipenem, extended spectrum penicillin )
- Close observation
- Complicated Parapneumonic Effusion
- Antiobiotics
- Early thoracostomy tube drainage
- Surgical decortication if extensive pleural thickening, fibrous organization, and /or multiple loculations.
- Malignant Pleural Effusion
- 2nd most common type of exudative pleural effusion (lung carcinoma, breast carcinoma, & lymphoma)
- Diagnosis: cytology of the pleural fluid
- If cytology is negative, thoracoscopy is done if malignancy is suspected
Management of pleural effusion
- Symptomatic treatment
- Tube thoracostomy ( sclerosing agents : doxycycline )
- Plurodesis when there is rapid reaccumulation of fluid
- Insertion of indwelling pleural catheter
Complications of pleural effsuion if untreated
- empyema
- constrictive fibrosis
- Sepsis
- lung cancer
Nursing care for pleural effusion and chest tube inserted patient
- Observe for infection, local inflammation
- Check dressing
- Check if tube is blocked
- Mobilization care
- Check for amount and color of drainage
- Pain management
- Ensure breathing and lung reexpansion in case of collapse
- Prevent clamping
- Ensure positioning
References
- Davidson’s Principles and Practice of Medicine 21st edition
- Harrison’s Principle of Internal Medicine, 18th edition
MCQs related to pleral effusion:
What is pleural effusion?
a) Accumulation of air in the pleural space
b) Collection of fluid in the pleural space
c) Infection of the pleural cavity
Answer: b) Collection of fluid in the pleural space
What is pneumothorax?
a) Collection of fluid in the pleural space
b) Accumulation of air in the pleural space
c) Infection of the pleural cavity
Answer: b) Accumulation of air in the pleural space
Which condition is more likely to cause chest pain?
a) Pleural effusion
b) Pneumothorax
c) Both conditions can cause chest pain
Answer: c) Both conditions can cause chest pain
Which condition is more likely to cause shortness of breath?
a) Pleural effusion
b) Pneumothorax
c) Both conditions can cause shortness of breath
Answer: c) Both conditions can cause shortness of breath
Which of the following imaging studies is most commonly used to diagnose pleural effusion?
a) Chest x-ray
b) Computed tomography (CT)
c) Magnetic resonance imaging (MRI)
Answer: a) Chest x-ray
Which of the following conditions can be diagnosed by thoracentesis?
a) Pleural effusion
b) Pneumothorax
c) Both conditions can be diagnosed by thoracentesis
Answer: a) Pleural effusion
Which of the following imaging studies is most commonly used to diagnose pneumothorax?
a) Chest x-ray
b) Computed tomography (CT)
c) Magnetic resonance imaging (MRI)
Answer: a) Chest x-ray
Which of the following conditions can be treated with a chest tube?
a) Pleural effusion
b) Pneumothorax
c) Both conditions can be treated with a chest tube
Answer: c) Both conditions can be treated with a chest tube
What is the primary treatment for small, uncomplicated pneumothorax?
a) Observation
b) Chest tube insertion
c) Surgery
Answer: a) Observation
What is the primary treatment for large, complicated pneumothorax?
a) Observation
b) Chest tube insertion
c) Surgery
Answer: b) Chest tube insertion
Which of the following is a potential complication of pleural effusion?
a) Respiratory failure
b) Cardiac arrest
c) Seizures
Answer: a) Respiratory failure
Which of the following is a potential complication of pneumothorax?
a) Respiratory failure
b) Cardiac arrest
c) Seizures
Answer: a) Respiratory failure
Which of the following conditions is more common in individuals with chronic obstructive pulmonary disease (COPD)?
a) Pleural effusion
b) Pneumothorax
c) Both conditions are equally common in individuals with COPD
Answer: b) Pneumothorax
Which of the following conditions is more common in individuals with heart failure?
a) Pleural effusion
b) Pneumothorax
c) Both conditions are equally common in individuals with heart failure
Answer: a) Pleural effusion
What is the most important factor in determining the severity of pneumothorax?
a) The size of the pneumothorax
b) The cause of the pneumothorax
c) The location of the pneumothorax
Answer: a) The size of the pneumothorax
Tags(please ignore): Health exams Exam preparation Medical exams Health test Study tips Health education Health knowledge Exam stress Health science Health information Exam strategies Health conditions Test anxiety Health promotion Exam resources Health resources Health research Exam techniques Health coaching Exam success PSC exam preparation Lok Sewa exam tips License exam study material Exam syllabus Exam pattern Previous year question papers Mock exams General knowledge for exams Exam eligibility criteria Exam registration Exam dates Exam centers Exam results Exam analysis Exam cutoff marks Exam books and guides Exam coaching Exam time management Exam revision techniques Exam success stories Public service commission exam Civil service exam preparation PSC exam syllabus PSC exam pattern PSC exam eligibility PSC exam registration PSC exam dates PSC exam centers PSC exam results PSC exam preparation tips Lok Sewa Aayog exam preparation Lok Sewa Aayog exam syllabus Lok Sewa Aayog exam pattern Lok Sewa Aayog exam eligibility Lok Sewa Aayog exam registration Lok Sewa Aayog exam dates Lok Sewa Aayog exam centers Lok Sewa Aayog exam results License exam preparation License exam syllabus License exam pattern License exam eligibility License exam registration License exam dates License exam centers License exam results License exam preparation tips General knowledge for PSC, Lok Sewa, and license exams Current affairs for exams Mental ability for exams




