Smoking and alcohol use? the benefits of smoking and the harms of smoking?
Table of Contents(toc)
Introduction
Smoking and alcohol use are two of the most prevalent and dangerous health risks in the world today. Both habits can have a devastating impact on a person’s physical and mental health, leading to a wide range of diseases and conditions that can be life-threatening.
The Harms of Smoking
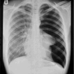
Effect of smoking
Cigarette smoking is a leading cause of preventable death worldwide. Smoking can cause a wide range of health problems, including lung cancer, heart disease, stroke, and chronic obstructive pulmonary disease (COPD). Smoking also affects the reproductive system, leading to fertility issues in both men and women. It can also harm unborn babies, causing low birth weight and a range of other problems.
![]() |
| No Smoking |
Smoking and lung cancer
One of the most significant risks of smoking is lung cancer. According to the American Lung Association, smoking causes 85% of lung cancer cases in the United States. In addition to lung cancer, smoking can also cause other types of cancer, including throat, bladder, and pancreatic cancer. Smoking can also lead to emphysema, a condition in which the air sacs in the lungs are damaged, making it difficult to breathe.
Cardiovascular risks of smoking
Smoking also damages the cardiovascular system, increasing the risk of heart attack and stroke. Nicotine in tobacco smoke raises blood pressure and heart rate, while carbon monoxide reduces the amount of oxygen that can be carried in the blood, making it more difficult for the heart to pump blood.
The Harms of Alcohol Use
Alcohol use is also a significant health risk, particularly when consumed in excess. Alcohol consumption can cause liver disease, pancreatitis, and a range of other health problems. Chronic alcohol use can also lead to high blood pressure, heart disease, and stroke.
Excessive alcohol use can also lead to alcoholism, a condition in which a person becomes physically and psychologically dependent on alcohol. Alcoholism can lead to a range of problems, including social isolation, relationship issues, and financial difficulties.
| Alcohol drinks |
Physical health risks of smoking
In addition to the physical health risks, alcohol use can also have a significant impact on mental health. Alcohol use can increase the risk of depression and anxiety, and it can also lead to other mental health problems, such as bipolar disorder.
![]() |
| No smoking sign |
Conclusion
![]() |
| Beer in a glass |
Smoking and alcohol use are two of the most significant health risks facing people today. Both habits can have a devastating impact on a person’s physical and mental health, leading to a wide range of diseases and conditions that can be life-threatening. If you smoke or drink alcohol, it is important to take steps to quit or reduce your use. Talk to your healthcare provider for guidance and support on quitting smoking and cutting back on alcohol use. Your health and well-being are too important to risk.



