Table of Contents
What is lung cancer?
Lung canceris one form of cancer that begins in lung cells. It is one of the most prevalent cancers and the main reason for cancer-related deaths globally. Lung cancer is also called bronnchogenic carcinoma.

Non-small cell lung cancer (NSCLC) and small cell lung cancer are the two main subtypes of lung cancer. (SCLC). Compared to SCLC, NSCLC is more prevalent and typically develops and spreads more slowly.
What causes lung cancer? Does smoking cause lung cancer?
Smoking is the leading risk factor for lung cancer, although other dangers include radon exposure, air pollution, and exposure to secondhand smoke.

What are the symptoms of lung cancer?
Initilaay the aptient may not be symptomatic.The patient may have constitutional symptoms like weight loss, loss of appetite, decreased energey and weakness. The llung cancer sumptoms include: coughing, chest pain, shortness of breath, and weight loss are all possible signs of lung cancer. The sputum may contain blood in it and cough remains for longer duration of time and is not cured even after treatment for other conditions.
Diagnosis of lung cancer
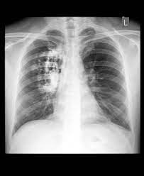
After patient is suspected of lung cancer, the patient may be needed to be investigated for it. The possible investigations may include complete blood counts, inflammatory markets, imaging studies like chest x ray, contrast or non contrast CT scan of chest, bronchoscopy.

The other disgnostic tests include CT guided needle biopsy, PET or positron emission tomography, bone scan, sputum cytology, thoracocentesis, needle biopsy like FNAC or in some cases even thrascopy may also be needed.Â

The supportive investigations to rle out the other causes include lunf functions tesst, arterial bood gas ABG analysis, liver function tests etc.
What is the treatment of lung canncer?
Depending on the kind and stage of the cancer, a lung cancer patient may receive surgery, radiation therapy, chemotherapy, targeted therapy, or a combination of these treatments. Early detection through screening can enhance results and raise the likelihood of a successful outcome.

Prevention of lung cancer
Avoiding smoking and exposure to secondhand smoke is important for lung cancer prevention, as is limiting exposure to other risk factors including radon and air pollution.


