annular pancreas

5 Very Important Abdominal (GI) anomalies in Down syndrome

🚻 Genitourinary (GU) anomalies in Down syndrome

Renal / urinary tract anomalies:

  • Hydronephrosis
  • Vesicoureteral reflux (VUR)
  • Posterior urethral valves (PUV) (in males)
  • Structural renal anomalies (less frequent than cardiac/GI)

External genital anomalies:

  • Cryptorchidism (undescended testes)
  • Hypospadias
  • Smaller genitalia (common phenotypic feature, not a malformation)

🧠 Clinical Pearls (Exam gold)

  • If a neonate with Down syndrome has bilious vomiting → think duodenal atresia first
  • If there is delayed meconium → rule out Hirschsprung disease
  • Always screen:
    • Echocardiography (most important—AV canal defects common)
    • Abdominal ultrasound if symptoms suggest GU involvement

🔑 High-yield GI associations:

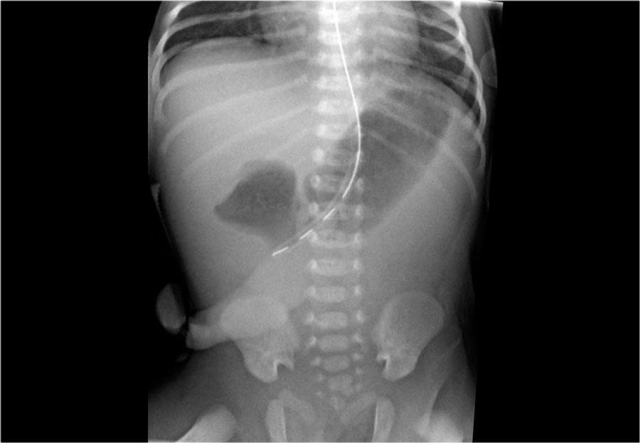
  • Duodenal atresia
    • Classic “double bubble” sign on X-ray
    • Presents with early bilious vomiting
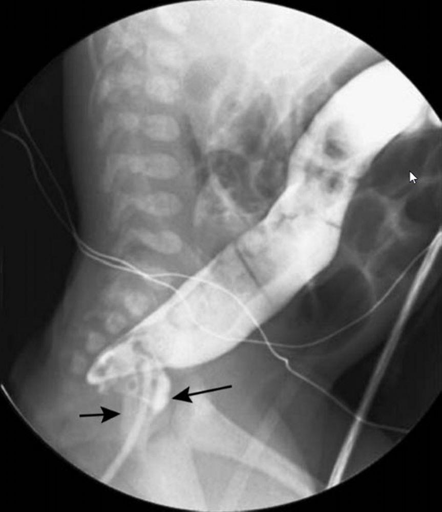
  • Hirschsprung disease
    • Failure to pass meconium, abdominal distension
    • Due to absence of ganglion cells in distal colon
  • Annular pancreas
    • Can cause duodenal obstruction
  • Imperforate anus (less common than in VACTERL but reported)

⚠️ Pattern to remember

  • Down syndrome = GI obstruction + Hirschsprung risk
  • GU anomalies are less consistent but still clinically relevant

Leave a Comment

Your email address will not be published. Required fields are marked *

[instagram-feed]
UTI complete slides